FastBraces:

Straight Teeth in 120 Days

 

It’s Ture!

Dr. Youngjune Chang is proud to be the only dentist in the heart of Kansas City certified to assess your teeth for FastBraces solution. Straighten your teeth even in about 120 days!

FastBraces technology has changed lives faster than braces since 1992. That’s 30 years of proven results for healthy, beautiful smiles!

 
FASTBRACES SENIOR MASTER PROVIDER

Why Are FastBraces Better Than Regular Braces?

  • FastBraces are fast--they can take anywhere from 100 days to 12 months!

  • Traditional braces are slow--they take 18 months to 2 years

  • FastBraces are reportedly more comfortable and safer than regular braces. Providing less damage to the root tips of your teeth during treatment.

  • FastBraces are for children and adults

  • FastBraces cost less on average than traditional braces

Benefits of Straightening Your Teeth

  • More appealing smile

  • Healthier gums

  • Easier chewing, especially as you age

  • Less plaque buildup

  • Lessens the risk for future gum disease, tooth breakage, and tooth loss

The Difference Between FastBraces and Regular Braces

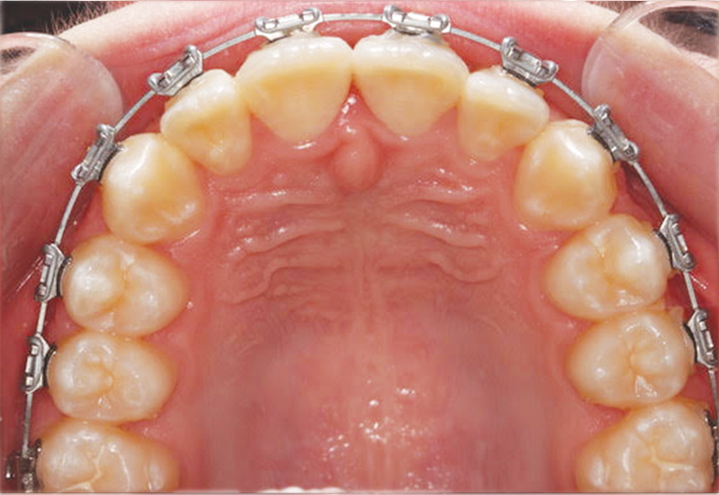
Traditional braces have a square wire bracket system. This requires two sets of wires, depending on the severity of the treatment. Fastbraces have triangular brackets that are all braced by one wire.

This single wire moves the crowns and roots of your teeth all at once, instead of separately. This is why Fastbraces work so much faster and safer!

Teeth move as the wire tightens, and the wire tightens naturally because of the body heat in your mouth. This is what makes FastBraces more comfortable on your teeth than traditional braces.

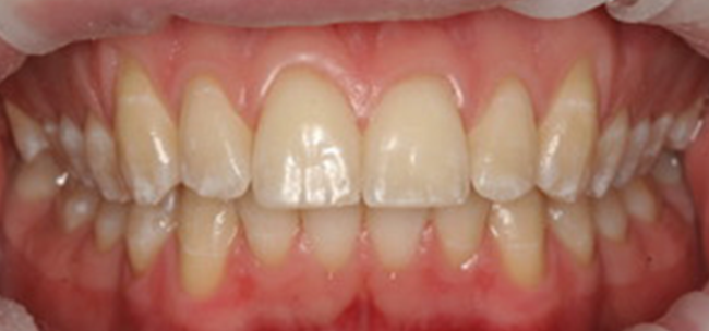
Before After Samples

Crowding 99 Days

Crowding_91_Days_BEFORE.png

Before

Crowding_91_Days_AFTER

After

Crowding 69 Days

Crowding_69_Days_BEFORE

Before

Crowding_69_Days_AFTER

After

Save Money with Fastbraces Over Traditional Braces

You can save over $1,000 when you choose to straighten your teeth with Fastbraces over more traditional braces. This means you save both time and money getting that photo-perfect smile!

Dr. Chang is the only FastBraces provider close to the heart of Kansas City. For other providers, you’ll have to spend more time and money driving out to South or North Kansas City to get treated.

Pave the Way for Healthy Implants

Straightening your teeth, and the roots of your teeth, can make sure your mouth is in the best shape as you age. This puts you in the best shape for future dental implants. FastBraces are the efficient choice for correcting your gums and teeth. They ensure your smile stays healthy and strong for years to come.